Группе ученых удалось создать препарат, который в 50% случаев помогает предотвратить развитие такого аутоимунного заболевания как рассеянный склероз.
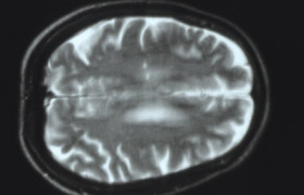
Рассеянный склероз является хроническим аутоиммунным заболеванием, при котором происходит разрушение белого вещества головного и спинного мозга. На данный момент не существует таких препаратов, которые могли бы бороться с рассеянным склерозом, так же как нет и ни одного зафиксированого случая избавления от данного...



