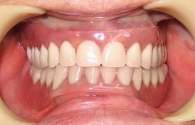
Возрастные изменения, травмы и различные заболевания — все это влияет на состояние зубов, способствует появлению дефектов, которые доставляют серьезные дискомфортные ощущения. Но современные методы протезирования профессиональных специалистов предоставляют возможность в независимости от возраста восстановить функции зубов и придать зубному ряду эстетический вид
