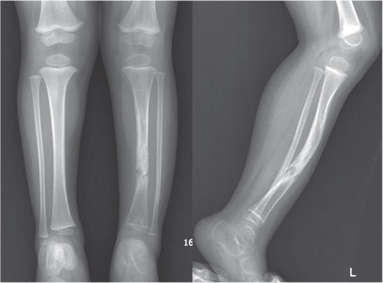
Сломанная кость — словно два кусочка пластилина, которые нужно крепко слепить обратно. В норме, при переломе между отломками образуется «костная мозоль» — сначала мягкая, а потом твердая костная ткань, которая прочно соединяет обломки. Это называется сращение (консолидация).
Ложный сустав — это осложнение перелома, при котором нормальный процесс сращения нарушается. Костные отломки не срастаются, а между ними образуется не кость, а «прослойка» из рубцовой или хрящевой ткани. Она не обладает необходимой прочностью, а края костей со временем притираются друг к другу, сглаживаются и даже покрываются подобием суставного хряща. Вокруг формируется капсула, наполненная жидкостью. В результате на месте перелома возникает патологическая подвижность — как будто здесь появился новый сустав, которого не должно быть. Его и называют ложным суставом.
Каковы основные симптомы ложного сустава?
— Подвижность в том месте, где ее быть не должно
— Боль при нагрузке (хотя часто она может быть несильной).
— Укорочение и деформация конечности.
— Неестественное положение и невозможность нормально наступить на ногу или использовать руку
— Атрофия мышц из-за отсутствия нормальной нагрузки.
Лечение ложного сустава — сложная хирургическая задача. Консервативные методы здесь бессильны. Врачи применяют:
1. Компрессионно-дистракционный остеосинтез (аппарат Илизарова) — аппарат внешней фиксации, который позволяет сближать отломки, создавая идеальные условия для сращения.
2. Костную пластику — «заплатка» из собственной кости пациента или специальных материалов помещается между отломками для стимуляции роста новой костной ткани.
3. Остеосинтез пластинами или стержнями — это прочная металлическая конструкция, которая жестко фиксирует отломки.
